İmplant Üstü Zirkonya Diş Kaplama
İmplant üstü zirkonya diş, eksik dişlerin yerine yerleştirilen implantların üzerine uygulanan, metal içermeyen estetik kaplama çözümüdür. Hem doğal görünüm hem de uzun ömürlü kullanım hedeflenir. Bu sayfada implant üstü zirkonya hakkında merak edilen tüm detayları; kimler için uygun olduğunu, tedavi sürecini, bakım önerilerini ve sık sorulan soruları kapsamlı şekilde bulabilirsiniz.
Bilgilendirme: Bu içerik genel bilgilendirme amaçlıdır. Kesin tanı ve planlama, diş hekimi muayenesi sonrası yapılır.
Hızlı erişim
- İmplant üstü zirkonya nedir?
- Kimler için uygun olabilir?
- Avantajları nelerdir?
- Tedavi süreci nasıl ilerler?
- Bakım ve kullanım önerileri
- İmplant üstü zirkonya fiyatını neler etkiler?
- Sık sorulan sorular
- Randevu ve iletişim
İmplant üstü zirkonya nedir?
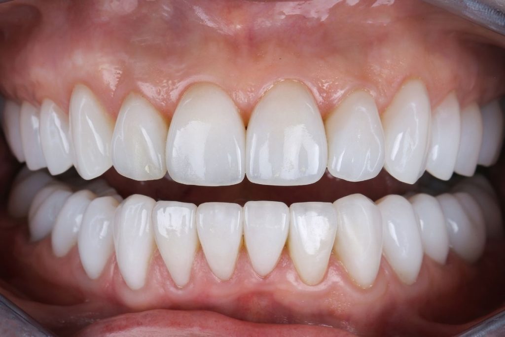
İmplant üstü zirkonya, çene kemiğine yerleştirilen titanyum implantların üzerine sabitlenen zirkonya alt yapılı porselen dişlerdir. Doğal diş kökü görevini gören implant ile estetik zirkonya kaplama birleşerek hem fonksiyon hem görünüm açısından güçlü bir çözüm sunar.
Bu yöntemde:
- Eksik diş boşluğu kalıcı olarak doldurulur
- Çiğneme fonksiyonu geri kazandırılır
- Doğal dişe en yakın görünüm hedeflenir
- Komşu dişlere zarar verilmez

İmplant Üstü Zirkonya Diş Kaplama
Kimler için uygun olabilir?
Muayene sonrası uygun görülmesi halinde implant üstü zirkonya şu kişiler için tercih edilebilir:
- Tek veya birden fazla dişini kaybetmiş hastalar
- Hareketli protez kullanmak istemeyenler
- Sabit ve uzun ömürlü çözüm arayanlar
- Estetik beklentisi yüksek olanlar
- Çene kemiği yeterli olan bireyler
Herkese uygulanabilir mi?
Kemik yetersizliği, kontrolsüz diyabet, aktif enfeksiyonlar gibi durumlarda önce tedavi gerekebilir. En doğru değerlendirme detaylı muayene ile yapılır.
Avantajları nelerdir?
Doğru planlama ile implant üstü zirkonya diş şu avantajları sağlar:
- En doğal görünüm: Gerçek dişe en yakın estetik.
- Metal içermez: Diş eti kenarında koyulaşma olmaz.
- Uzun ömür: Doğru bakım ile yıllarca kullanılabilir.
- Sağlam yapı: Yüksek çiğneme kuvvetine dayanıklıdır.
- Konfor: Sabit olduğu için oynama yapmaz.

İmplant Üstü Zirkonya Diş Kaplama
Dikkat edilmesi gerekenler
İmplant çevresi dokuların sağlığı çok önemlidir. Düzenli bakım yapılmazsa periimplantitis gibi sorunlar gelişebilir.
Tedavi süreci nasıl ilerler?
1) Muayene ve planlama
Röntgen ve tomografi ile kemik durumu değerlendirilir.
2) İmplant yerleştirme
Cerrahi işlemle implant kemiğe yerleştirilir.
3) İyileşme süreci
İmplantın kemikle kaynaşması (osseointegrasyon) beklenir. (2–4 ay)
4) Ölçü ve prova
Zirkonya kaplama için ölçü alınır.
5) Kalıcı kaplama
Kaplama implant üzerine sabitlenir.
Toplam süre ne kadar?
Vakaya göre 3–6 ay arasında değişebilir.
Bakım ve kullanım önerileri
- Günde 2 kez düzenli fırçalama
- İmplant çevresi için özel diş ipi
- Arayüz fırçası kullanımı
- Sigara kullanımını azaltma
- 6 ayda bir kontrol
Ne kadar dayanır?
Doğru bakım ile implantlar ömür boyu kullanılabilir.
İmplant üstü zirkonya fiyatını neler etkiler?
Fiyatlar;
- Kullanılan implant markası
- Kemik grefti ihtiyacı
- Zirkonya materyal kalitesi
- Yapılacak diş sayısı
gibi faktörlere göre değişir. Net fiyat muayene sonrası belirlenir.
Sık sorulan sorular
İmplant üstü zirkonya doğal durur mu?
Evet. Doğru renk ve form seçimi ile doğal dişten ayırt edilemez.
İmplant üzerine zirkonya mı porselen mi?
Estetik beklentisi yüksek hastalarda zirkonya daha çok tercih edilir.
İmplant sonrası ağrı olur mu?
İlk günlerde hafif ağrı olabilir, genellikle kısa sürede geçer.
İmplant düşer mi?
Doğru bakım ile düşme riski çok düşüktür.
Randevu ve iletişim
İmplant üstü zirkonya için uygunluk değerlendirmesi muayene ile netleşir.
Bu içerik bilgilendirme amaçlıdır; teşhis ve tedavi için mutlaka diş hekimi muayenesi gereklidir.